s
Cronaca
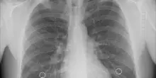
Influenza, Bassetti: "In ospedale 20enne con pericardite-miocardite, giovani vaccinatevi"
Oggi 10-12-25, 11:47
(Adnkronos) - "E' tutt'altro che un'infezione banale, può colpire tutti gli organi e causare complicanze gravi"
CONTINUA A LEGGERE
3
0
0
