s
Tutte le prime pagine di oggi su Giornalone.it
Cronaca
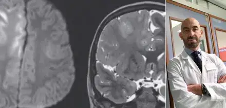
Morbillo, Bassetti: "Non è malattia infantile di routine, ci sono rischi neurologici gravi"
Oggi 05-03-26, 13:32
(Adnkronos) - "Uno studio descrive il decesso di un bambino di 7 anni per panencefalite subacuta sclerosante o Pess"
CONTINUA A LEGGERE
5
0
0
