s
     
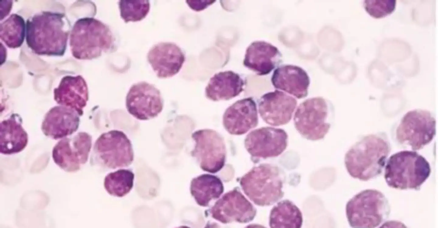
                                                Scoperti due Rna circolari che predicono la leucemia più aggressiva
                                
                                23-07-2025, 12:51                            
                                                            Due minuscole molecole di Rna, chiuse a cerchio, potrebbero presto aiutare i medici a capire in anticipo quali pazienti con leucemia linfatica cronica (Cll) rischiano un decorso più rapido e...
CONTINUA A LEGGERE
                            
                                                     21
                            0
                            0
                        Guarda anche
Il Sole 24 Ore 
            
                
                20:26
        Campari, sequestrate azioni per 1,2 miliardi
Il Sole 24 Ore 
            
                
                19:57
        Nuova stretta anti-evasione, dal 1° gennaio la cassa dovrà essere collegata ai Pos
Il Sole 24 Ore 
            
                
                19:51
        Pagamenti digitali, in bar e ristoranti quasi una transazione su due
Il Sole 24 Ore 
            
                
                19:34
        Laterizi, rinnovato il contratto: 205 euro di aumento
Il Sole 24 Ore 
            
                
                19:07
        
 
                        
             
                        
             
                        
            