s
Tutte le prime pagine di oggi su Giornalone.it
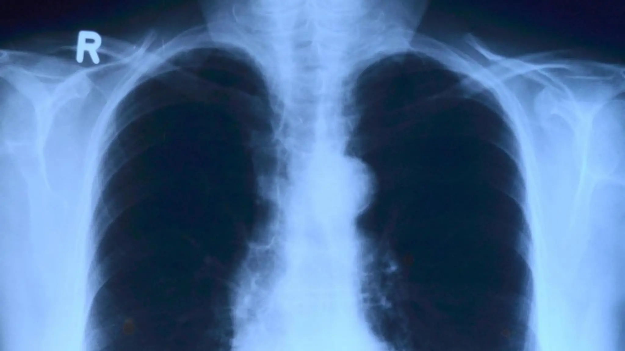
Salute
Tumori, aumentano nei giovani: in crescita neoplasie colon, pancreas e polmone
Oggi 03-02-26, 07:06
L'allarme del Policlinico Gemelli: "Per il colon +80% di casi under 50 entro il 2040"
CONTINUA A LEGGERE
2
0
0
Guarda anche
Libero Quotidiano
Tumori al colon, "verso un +80%": l'allarme e il sospetto sulla causa
Libero Quotidiano
