s
Primo Piano
Malattie rare, risultati positivi a 5 anni per vamorolone in distrofia Duchenne
04-11-2025, 16:54
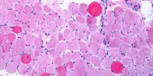
Roma, 4 nov. (Adnkronos Salute) – Sono positivi i risultati di un’analisi dei dati a lungo termine – comprese le prime valutazioni dello studio multicentrico in aperto Guardian, attualmente in corso – che valuta Agamree* (vamorolone) in pazienti affetti da distrofia muscolare di Duchenne (Dmd). Lo annuncia in una nota Santhera Pharmaceuticals, precisando che l’analisi […] L'articolo Malattie rare, risultati positivi a 5 anni per vamorolone in distrofia Duchenne proviene da La Ragione.
CONTINUA A LEGGERE
17
0
0
Guarda anche
La Ragione
21:09
Giappone: la 92enne Sakai Hisako vince il torneo di Tekken 8
La Ragione
18:42
Askatasuna, scontri a Torino
La Ragione
17:07
Sport, Nepi: “E’ ascensore sociale, Caivano lo dimostra”
La Ragione
17:06
Sport, Nepi: “E’ ascensore sociale, Caivano lo dimostra”
La Ragione
14:27
