s
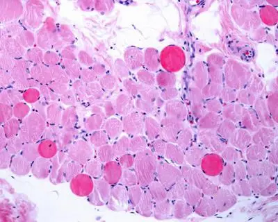
Malattie rare, risultati positivi a 5 anni per vamorolone in distrofia Duchenne
04-11-2025, 17:00
Leggi tutto Malattie rare, risultati positivi a 5 anni per vamorolone in distrofia Duchenne su Notizie.it.
CONTINUA A LEGGERE
9
0
0
Guarda anche
Notizie.it
Ieri, 23:29
L’uso strategico dell’accessibilità dai Democratici per contrastare Trump
Notizie.it
Ieri, 23:28
Elon Musk: Innovazioni Rivoluzionarie e Sfide Globali da Affrontare
Notizie.it
Ieri, 22:28
Stefano Bettarini e Nicoletta Larini: amori e progetti futuri svelati
Notizie.it
Ieri, 22:08
